Ê-kíp bác sĩ Bệnh viện Đa khoa Hồng Ngọc Phúc Trường Minh đã phẫu thuật loại bỏ khối u bì buồng trứng kích thước hơn 7cm chứa tóc, xương và nhiều cấu trúc bất thường cho chị P.T.T (56 tuổi) đến từ Thái Nguyên. Đáng nói, người bệnh đã mãn kinh 2 năm nhưng khối u vẫn không ngừng phát triển.
Ê-kíp bác sĩ phẫu thuật loại bỏ u quái buồng trứng chứa tóc, răng và xương - Ảnh BVCC
Người bệnh mãn kinh vẫn mang khối u buồng trứng phát triển bất thường
Cách đây 3 năm, trong một lần khám sức khỏe định kỳ, chị T. được phát hiện có khối u ở buồng trứng. Tuy nhiên, do khối u nhỏ, không gây đau hay khó chịu, chị lại sắp mãn kinh nên tâm lý chủ quan nghĩ u sẽ không phát triển.
Thời gian gần đây, chị T. bắt đầu cảm thấy bụng dưới căng tức, đôi lúc đau âm ỉ kèm tình trạng tiểu rắt nên quyết định đến bệnh viện để kiểm tra.
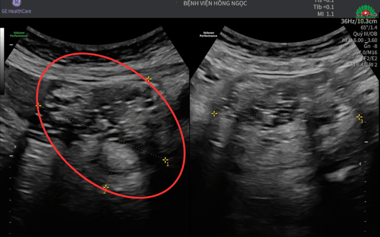
Tại đây, chị được chỉ định siêu âm và chụp MRI ổ bụng, kết quả cho thấy u buồng trứng kích thước hơn 7cm cùng hình ảnh mô đặc, mỡ, xương - gợi ý u quái trưởng thành. Để ngăn chặn biến chứng ảnh hưởng đến sức khỏe, các bác sĩ quyết định thực hiện phẫu thuật nội soi loại bỏ khối u cùng hai phần phụ.
Khối u buồng trứng kích thước hơn 7cm chèn ép các tạng xung quanh - Ảnh BVCC
“Mặc dù khối u có kích thước không quá lớn nhưng đã kéo cả tử cung và buồng trứng lên quá rốn, chèn vào bàng quang. Vì vậy, ê-kíp phẫu thuật phải hết sức tỉ mỉ để loại bỏ được toàn bộ khối u cùng các tổ chức bất thường, đồng thời không làm ảnh hưởng đến các cơ quan lân cận”, ThS.BS Nguyễn Thị Thùy - Phó Trưởng khoa Sản Phụ khoa, Bệnh viện Đa khoa Hồng Ngọc Phúc Trường Minh - bác sĩ trực tiếp điều trị cho bệnh nhân T. chia sẻ.
Thông qua 3 đường rạch nhỏ chưa đến 1cm, các bác sĩ đã từng bước đưa dụng cụ nội soi vào ổ bụng, loại bỏ hoàn toàn khối u và 2 phần phụ. Khi tách khối u, ê-kíp phát hiện bên trong chứa tóc, xương và cả mảnh răng nhỏ – đúng với đặc điểm điển hình của u bì trưởng thành.
Sau phẫu thuật, chị T. hồi phục nhanh. “Không đau, cũng không nhức vết mổ hay ổ bụng chút nào. Chỉ khoảng 12 tiếng sau phẫu thuật là tôi đã có thể ngồi dậy và đi lại rồi”, chị T chia sẻ.
Hình ảnh khối u quái buồng trứng chứa tóc, xương và răng - Ảnh BVCC
U bì buồng trứng - khối u “kỳ quái” nhưng không hiếm gặp
U bì buồng trứng (hay còn gọi là u quái trưởng thành) là một dạng u lành tính hình thành từ tế bào mầm, có khả năng phát triển thành nhiều loại mô khác nhau như da, tóc, xương, răng, mỡ… Bệnh thường gặp ở phụ nữ trong độ tuổi sinh sản, song không loại trừ trường hợp tồn tại âm thầm đến sau mãn kinh.
Vì tiến triển chậm, u bì buồng trứng thường không có triệu chứng rõ ràng, nhiều người chỉ phát hiện tình cờ khi đi siêu âm. Khi u lớn, người bệnh có thể thấy đau tức bụng dưới, rối loạn kinh nguyệt, chướng bụng hoặc cảm giác nặng vùng chậu.
“Nếu không can thiệp kịp thời, u bì có thể gây xoắn buồng trứng, vỡ, chèn ép các tạng xung quanh, nhiễm trùng ổ bụng - những biến chứng nguy hiểm đe dọa sức khỏe và khả năng sinh sản của chị em”, bác sĩ Thùy cho hay.
Khám phụ khoa định kỳ giúp phát hiện sớm và lên kế hoạch điều trị hiệu quả các bệnh phụ khoa nguy hiểm - Ảnh BVCC
Khám phụ khoa định kỳ là cách hiệu quả nhất để phát hiện u bì buồng trứng cùng nhiều bệnh phụ khoa nguy hiểm. Khi phát hiện bất thường, chị em cần theo dõi sát sao theo hướng dẫn của bác sĩ và tiến hành phẫu thuật khi có chỉ định.
Hiện nay, với sự phát triển của y học hiện đại, các bệnh lý phụ khoa như u bì buồng trứng có thể được điều trị hiệu quả bằng phẫu thuật nội soi - phương pháp ít xâm lấn, an toàn và thẩm mỹ.
Việc phát hiện sớm, phẫu thuật nội soi giúp hạn chế đau, ít biến chứng và rút ngắn thời gian nằm viện, bảo tồn tối đa khả năng sinh sản và chức năng sinh lý của phụ nữ, đảm bảo người bệnh có thể hồi phục nhanh và sớm trở lại sinh hoạt bình thường



