Trung tâm Y tế khu vực Tam Nông đã tiếp nhận và kịp thời cứu sống trường hợp bệnh nhân T.D.S (xã Tam Nông) nhập viện trong tình trạng nguy kịch do xơ gan tiến triển kèm viêm thận bể thận phải nặng.
Ảnh BVCC
Bệnh nhân có tiền sử đái tháo đường, tăng huyết áp và xơ gan. Trước thời điểm nhập viện 05 ngày, bệnh nhân xuất hiện đau nhiều vùng thắt lưng lan ra mạn sườn phải, phù hai chi dưới và sốt liên tục, người bệnh tự điều trị tại nhà nhưng không thuyên giảm. Khi vào Trung tâm Y tế, bệnh nhân sốt cao, đau bụng nhiều và tình trạng toàn thân suy kiệt.
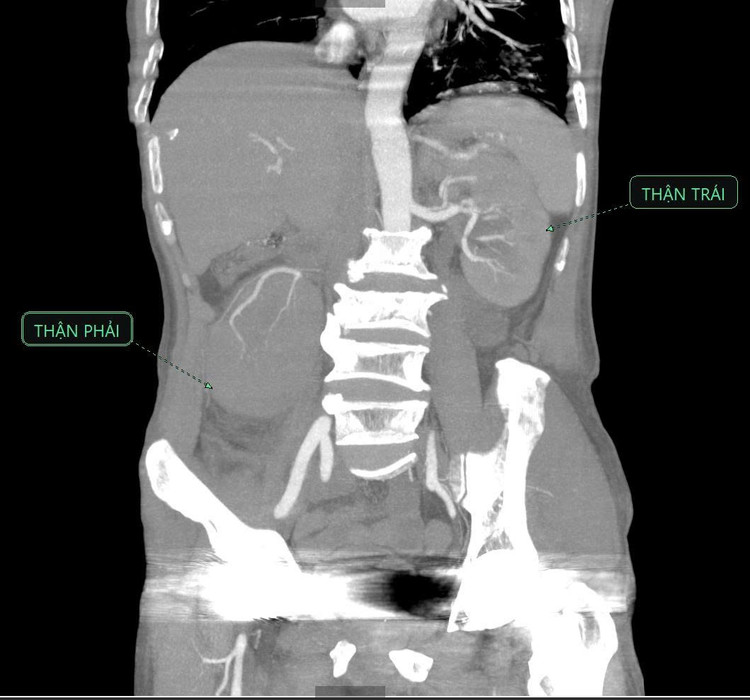
Các bác sĩ đã nhanh chóng thực hiện các cận lâm sàng cần thiết. Kết quả chụp CT-Scanner ổ bụng ghi nhận viêm thận – bể thận phải, thận phải lạc chỗ và giãn đài bể thận trái.
Hình ảnh chụp Cắt lớp vi tính có tiêm thuốc cản quang: Thận phải lạc chỗ, nhu mô thận phải ngấm thải thuốc kém hơn thận trái, bể thận xoay ngoài, nhu mô thận có hình ảnh các ổ không ngấm thuốc (quan sát rõ ở các thì tĩnh mạch và thì muộn) - Ảnh BVCC
Kết quả xét nghiệm cho thấy chỉ số CRP của bệnh nhân tăng tới 169,8 mg/l, cao gấp gần 20 lần mức bình thường, thể hiện tình trạng viêm nhiễm nặng và nguy cơ tiến triển nhiễm khuẩn huyết.
Sau hội chẩn, các bác sĩ thống nhất chẩn đoán: Viêm thận, đài – bể thận phải trên nền đái tháo đường tuýp II, xơ gan, ban xuất huyết và thiếu máu giảm tiểu cầu.
Trước diễn tiến phức tạp, ê-kíp cấp cứu đã đặt catheter tĩnh mạch trung tâm, điều trị theo phác đồ xơ gan, thở oxy hỗ trợ và sử dụng kháng sinh đặc hiệu kết hợp giãn cơ phù hợp nhằm kiểm soát nhiễm khuẩn và ổn định chức năng tạng.
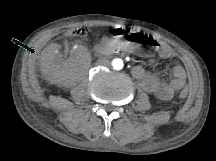
Hình ảnh chụp Cắt lớp vi tính có tiêm thuốc cản quang - Ảnh BVCC
Nhờ điều trị kịp thời và theo dõi sát sao, sau 6 ngày bệnh nhân đã tỉnh táo và ăn uống tốt. Đến ngày thứ 9, người bệnh hết đau bụng, giảm phù chi dưới, sức khỏe phục hồi rõ rệt.
Ngày 9/11, người bệnh hoàn toàn tỉnh táo, sinh hoạt bình thường và được xuất viện trong tình trạng ổn định.
Hình ảnh chụp Cắt lớp vi tính có tiêm thuốc cản quang: Thận phải lạc chỗ, nhu mô thận phải ngấm thải thuốc kém hơn thận trái, bể thận xoay ngoài, nhu mô thận có hình ảnh các ổ không ngấm thuốc (quan sát rõ ở các thì tĩnh mạch và thì muộn) - Ảnh BVCC
Ca bệnh trên là minh chứng rõ nhất cho năng lực chuyên môn vững vàng và tinh thần trách nhiệm cao của đội ngũ y bác sĩ Trung tâm Y tế khu vực Tam Nông trong xử trí các trường hợp cấp cứu nội khoa nặng, nguy hiểm.









