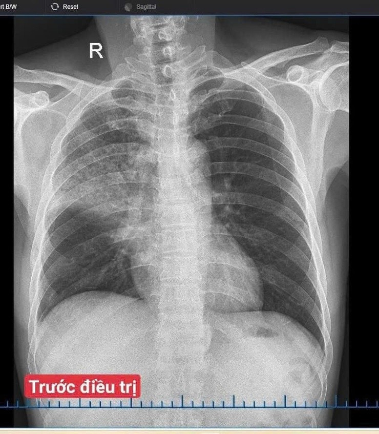
Hình ảnh trước điều trị của người bệnh. Ảnh BV
Bệnh nhân nhập viện trong tình trạng sốt cao, ho nhiều, khạc đờm đục, đau ngực và khó thở. Sau khi thăm khám, làm các xét nghiệm cần thiết, bác sĩ chẩn đoán viêm phổi cộng đồng nặng trên bệnh nhân có bệnh lý gan mạn tính. Người bệnh được điều trị tích cực bằng kháng sinh theo kháng sinh đồ, kết hợp hỗ trợ gan, bù dịch – điện giải và theo dõi sát hô hấp.
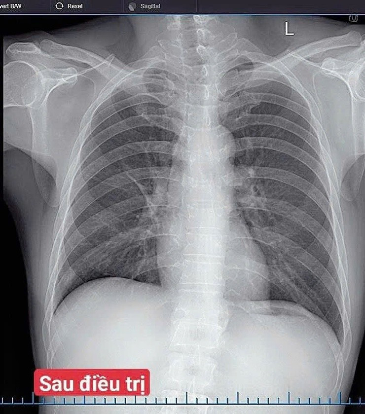
Sau 7 ngày điều trị, tình trạng bệnh nhân cải thiện rõ rệt: Hết sốt, giảm ho, giảm đau ngực, ăn ngủ tốt, chỉ số sinh tồn ổn định.
Hình ảnh sau điều trị của người bệnh. Ảnh BV
Các bác sĩ cho biết, viêm phổi ở người có bệnh gan mạn, nghiện rượu hoặc suy giảm miễn dịch rất dễ diễn biến nặng, có thể gây suy hô hấp, nhiễm khuẩn huyết, thậm chí tử vong nếu không được phát hiện và điều trị kịp thời. Trường hợp trên là minh chứng cho hiệu quả của việc chẩn đoán sớm và điều trị tích cực, góp phần bảo vệ tính mạng người bệnh mắc bệnh nền.
Bác sĩ khuyến cáo, những người có bệnh lý gan mạn, hút thuốc, uống rượu hoặc suy giảm miễn dịch cần khám sức khỏe định kỳ, đặc biệt khi xuất hiện các triệu chứng như sốt cao, ho, khạc đờm, đau ngực, cần đến ngay cơ sở y tế để được thăm khám và điều trị kịp thời.



