Ngày 11/11, Bệnh viện Đa khoa Trung ương Quảng Nam thông tin, một người đàn ông 70 tuổi ở xã Núi Thành, TP Đà Nẵng đã được đơn vị cứu sống sau khi rơi vào hôn mê sâu vì ho ra máu nặng nguyên nhân từ phổi, nhờ phát hiện sớm và xử trí kịp thời.
Bệnh nhân là ông Bùi Văn Ch. (70 tuổi, trú tại xã Núi Thành, TP Đà Nẵng) được người nhà đưa đến bệnh viện vào đêm 26/10 trong tình trạng hôn mê, khó thở, ho ra máu nhiều, gây suy hô hấp nặng. Kết quả đo cho thấy nồng độ oxy trong máu động mạch (SpO₂) chỉ còn 65%.
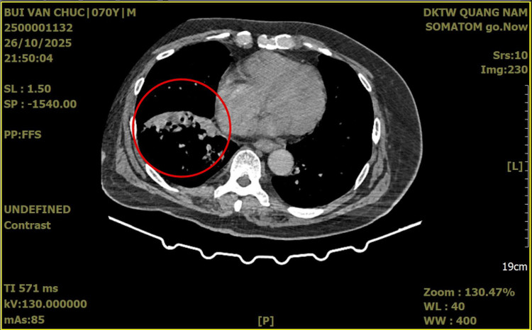
Hình ảnh chụp CT trước mổ của người bệnh Ch. bị giãn phế quản thùy dưới phổi phải. Ảnh Bệnh viện Đa khoa Trung ương Quảng Nam
Ngay khi tiếp nhận, các bác sĩ đã nhanh chóng triển khai cấp cứu khẩn cấp, tiến hành đặt nội khí quản, hút máu đọng hai phổi, thở máy, truyền máu và hồi sức tích cực nhằm duy trì sự sống cho người bệnh.
Kết quả thăm khám lâm sàng và nội soi khí phế quản cho thấy máu chảy từ phế quản thùy dưới phổi phải. Hình ảnh chụp cắt lớp vi tính xác định có tổn thương giãn phế quản khu trú tại thùy dưới phổi phải.
Sau hội chẩn chuyên khoa, các bác sĩ thống nhất chỉ định phẫu thuật nội soi cắt thùy dưới phổi phải nhằm loại bỏ vùng tổn thương, cầm máu và ngăn ngừa nguy cơ suy hô hấp tái phát.
Sau phẫu thuật cắt thùy dưới phổi phải, người bệnh Ch. hết ho ra máu và hồi phục nhanh chóng. Ảnh Bệnh viện Đa khoa Trung ương Quảng Nam
Ngày 29/10, tại phòng mổ của Bệnh viện Đa khoa Trung ương Quảng Nam, các bác sĩ đã thực hiện thành công ca phẫu thuật cắt thùy dưới phổi phải để loại trừ nguyên nhân ho ra máu ồ ạt cho người bệnh. Sau phẫu thuật, người bệnh hết ho ra máu và hồi phục nhanh chóng.
TS.BS. Nguyễn Lương Tấn – Trưởng khoa Ngoại Tim mạch – Lồng ngực cho biết: “Ho ra máu do giãn khí phế quản có thể được điều trị bằng kỹ thuật tắc động mạch phế quản hoặc phẫu thuật. Trong trường hợp này, đây là bệnh lý cấp cứu tiến triển nhanh, đe dọa tính mạng và tổn thương khu trú nặng tại một thùy phổi, nên phẫu thuật cắt thùy phổi là lựa chọn tối ưu để cứu sống người bệnh”.
Ông chia sẻ thêm: “Người bệnh tuổi cao, có bệnh nền giãn phế quản mạn tính. Thành công của ca điều trị là kết quả của sự phối hợp khẩn trương, đồng bộ giữa các khoa Cấp cứu, Nội Tim mạch, Hồi sức tích cực – Chống độc, Ngoại Tim mạch – Lồng ngực và Gây mê Hồi sức. Trong tình huống này, mỗi phút đều mang ý nghĩa quyết định sự sống”.
Sau hơn một tuần điều trị, sức khỏe người bệnh tiến triển tốt, tự thở được, tự ăn uống và vận động. Đến ngày 11/11, người bệnh ổn định hoàn toàn và được xuất viện.





