Không thể đứng vững sau 4 năm thay khớp gối
5 năm trước, bà Oanh (63 tuổi) bị thoái hóa khớp gối độ IV nghiêm trọng, đau đớn, hạn chế vận động, ảnh hướng lớn đến cuộc sống nên bà đã quyết định phẫu thuật thay khớp gối để cải thiện vận động.
Sau khi thay khớp gối, tưởng cuộc sống đã trở lại bình thường nhưng khoảng một năm trở lại đây, khớp gối ngày càng sưng đau, lỏng lẻo, chân cong vẹo, khiến bà không thể đứng vững.
Suốt nhiều tháng, bà Oanh đi khám ở nhiều bệnh viện để tìm hướng điều trị. Dù được nhiều bác sĩ chỉ định phẫu thuật, bà vẫn trì hoãn vì lo ngại rủi ro, chỉ uống thuốc giảm đau và tập phục hồi chức năng nhưng khớp gối ngày càng biến dạng, việc di chuyển cũng phải phụ thuộc vào xe lăn.
Khi biết Bệnh viện Đa khoa Hồng Ngọc - Phúc Trường Minh có phương pháp phẫu thuật hiện đại và quyết định đến thăm khám. Tại đây, các bác sĩ phát hiện khớp gối nhân tạo của bà đã bị “trôi” khỏi ổ khớp.
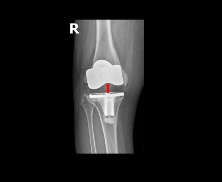
Khớp gối nhân tạo lỏng lẻo, di lệch khỏi ổ khớp - Ảnh BVCC
Khớp gối nhân tạo lỏng lẻo, di lệch khỏi ổ khớp
TS.BS Lê Quang Huy, Trưởng khoa Ngoại Chấn thương chỉnh hình - Thần kinh sọ não, Bệnh viện Đa khoa Hồng Ngọc - Phúc Trường Minh cho biết: "Trường hợp của bệnh nhân Oanh hiếm gặp.
Chỉ sau gần 5 năm phẫu thuật, cấu phần lồi cầu đùi nhân tạo (phần kim loại bao bọc đầu dưới xương đùi) đã lún vào lồi cầu trong xương đùi gần 2cm, khiến khớp gối lệch khỏi vị trí ban đầu, mất vững kèm mất cân bằng mô mềm quanh khớp dẫn đến bệnh nhân không đi lại được.
Các nguyên nhân gây biến chứng như nhiễm trùng hay viêm xương tuỷ đã được chúng tôi loại trừ, có thể do cơ địa bệnh nhân không phù hợp với loại khớp cấy ghép, tình trạng loãng xương nặng gây tiêu xương hoặc kỹ thuật cắt xương chưa thực sự chuẩn xác. Giải pháp duy nhất để phục hồi vận động và ngăn ngừa nguy cơ tàn phế là phẫu thuật thay lại khớp gối”.
Chia sẻ về quyết định phẫu thuật lại khớp gối, bà Oanh cho biết: “Ban đầu tôi rất lo lắng khi nghe bác sĩ nói phải thay lại khớp gối, sợ phẫu thuật không thành công và mình sẽ không thể đi lại được nữa. Nhưng khi được bác sĩ động viên, giải thích cặn kẽ, tôi hiểu rằng đây là giải pháp duy nhất để trở lại cuộc sống bình thường. Nhờ vậy, tôi cảm thấy yên tâm, tin tưởng và quyết định phẫu thuật”.
Ca mổ của bà Oanh được đánh giá là phức tạp do gân cơ, dây chằng và cấu trúc xương quanh khớp tổn hại nghiêm trọng, đòi hỏi bác sĩ tính toán kỹ lưỡng để vừa khôi phục trục chân nguyên bản, vừa bảo tồn tối đa gân cơ, hạn chế biến chứng tái phát.
Sau khi hội chẩn cùng GS. Hiranaka Takafumi (Giám đốc Trung tâm Phẫu thuật Khớp, Bệnh viện Takatsuki, Nhật Bản), TS.BS Lê Quang Huy quyết định loại bỏ khớp nhân tạo cũ, thay thế khớp mới bằng kỹ thuật thay khớp gối gióng trục động học, không cắt gân cơ với đường mổ nhỏ, ít xâm lấn, giúp bệnh nhân ít đau, có thể đi lại sau 1-2 ngày.
Ngoài ra, bác sĩ sử dụng khớp bản lề chuôi dài để tăng độ vững, khôi phục trục chân, giúp người bệnh khôi phục chức năng và tầm vận động, hạn chế nguy cơ di lệch khớp.
Ê - kíp bác sĩ thay lại khớp gối cho bệnh nhân - Ảnh BVCC
Sau 2 giờ, ca mổ diễn ra thuận lợi. Khớp gối mới vừa vặn với ổ khớp, trục chân nguyên bản được khôi phục.
Bà Oanh chia sẻ: “Lần mổ này nhẹ nhàng hơn lần mổ trước của tôi, lần trước, hơn 10 ngày tôi vẫn đau, không đi lại được. Lần mổ này, sau 2 ngày tôi đã vận động nhẹ nhàng, ngày thứ 5 tôi đã đi bỏ khung, tự chủ trong sinh hoạt cá nhân rồi.
Tôi và gia đình đều bất ngờ bởi chỉ sau 1 cuộc phẫu thuật, tôi đã có thể đi lại được bình thường. Tôi xin gửi lời cảm ơn tới BS Huy cũng như tập thể nhân viên bệnh viện đã chăm sóc cho tôi rất chu đáo, tận tình”.
Bà Oanh tập phục hồi chức năng tại bệnh viện - Ảnh BVCC
“Sau thay khớp gối, người bệnh cần tuân thủ phác đồ phục hồi chức năng, tập luyện đều đặn và đúng kỹ thuật để khớp nhân tạo vận hành bền vững. Tránh vận động quá sức, đặc biệt là các môn thể thao cường độ cao hay động tác xoay vặn gối.
Khi có dấu hiệu bất thường như sưng đau kéo dài, khớp lỏng lẻo hoặc phát ra tiếng kêu, cần đi khám ngay tại cơ sở chuyên khoa”, TS.BS Lê Quang Huy khuyến cáo.





